Radiologia Odontoiatrica Digitale

Radiazioni ridotte

<23%

La T.C. Cone Beam, ha un’esposizione ai raggi X inferiore di 23 volte rispetto alla T.A.C. convenzionale con una migliore risoluzione tridimensionale delle immagini.

Nel nostro studio effettuiamo diagnostica per immagini con le nuove tecnologie digitali.

L’utilizzo della radiologia digitale anche nelle classiche forme Endorale e Oropanoramiche  permette una qualità migliore e una ridotta esposizione per il paziente.

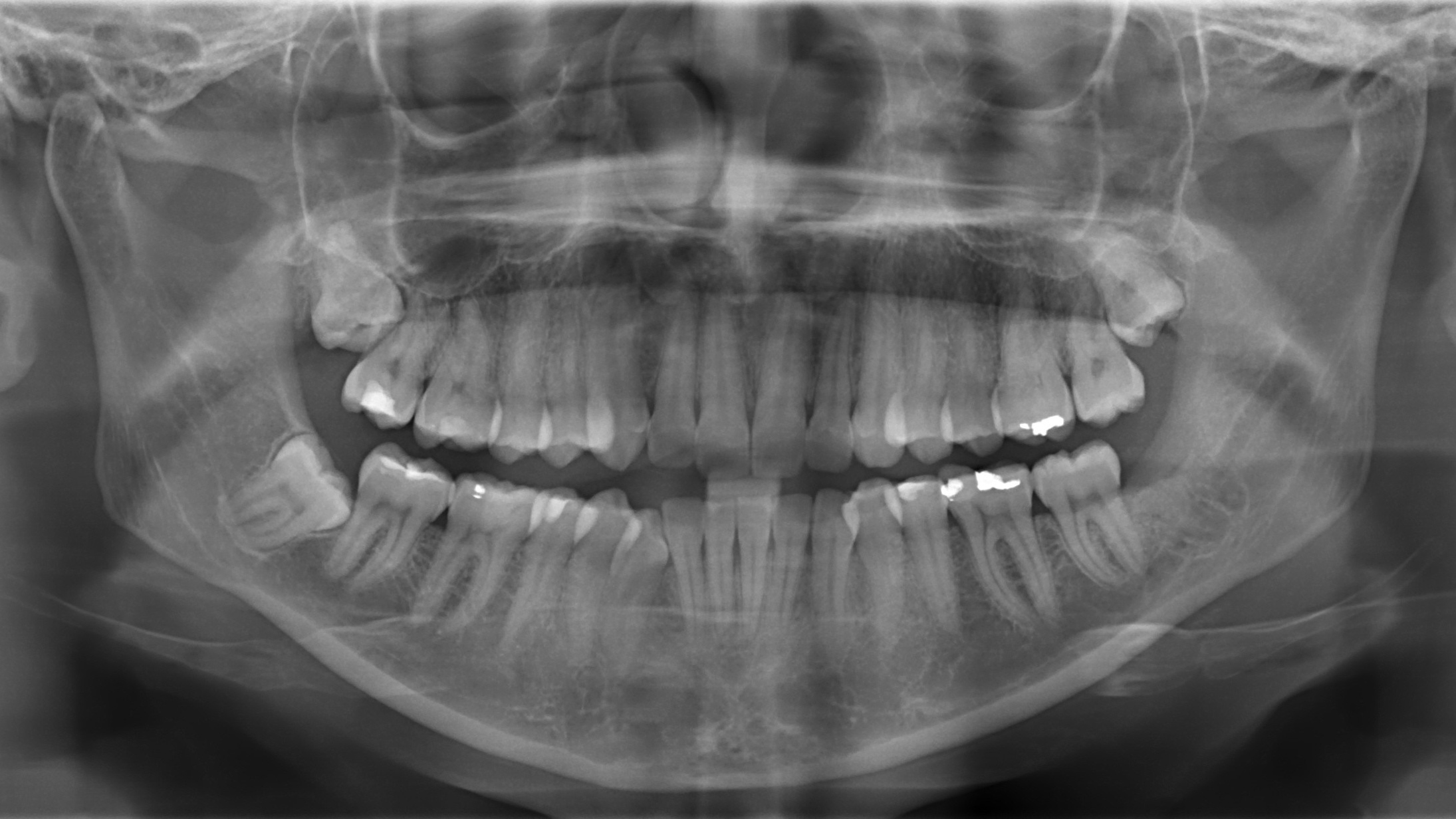
Ortopanoramiche digitali

Rx endorali

Tomografia computerizzata Cone Beam

In odontoiatria, per effettuare una corretta diagnosi e un corretto piano di trattamento, è fondamentale eseguire approfonditi esami radiologici.

In particolare, nella moderna terapia implantoprotesica l’esame radiologico è importante perché è l’unica indagine che permette di studiare bene le ossa mascellari del paziente per inserire in maniera corretta gli impianti dentari.

Se fino agli ’90 l’unico esame che permetteva di effettuare questo tipo di studio tridimensionale era la Tomografia Computerizzata Assiale (T.A.C.), dal ’98 è stata introdotta una nuovo tecnologia di Tomografia Computerizzata, detta Tomografia Computerizzata Cone Beam (CBTC) che ha ridotto moltissimo l’esposizione alle radiazioni, permettendo oltretutto una migliore risoluzione tridimensionale delle immagini.

La T.C. Cone Beam, infatti, ha in media un’esposizione ai raggi X inferiore di 23 volte rispetto alla T.A.C. convenzionale.

Oltre a ciò, tramite l’esame Cone Beam si possono visualizzare le strutture nervose (nervo alveolare inferiore), le vie aeree ed i seni paranasali.

Un’altra caratteristica dell’esame Cone Beam è la possibilità di ottenere la ricostruzione di entrambe le arcate mascellari, superiore ed inferiore, con un’unica scansione, senza esami aggiuntivi e costi ulteriori.