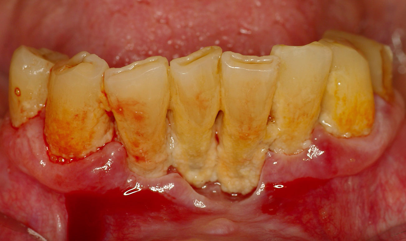
Le 10 regole sugli impianti e sulla malattia parodontale
Impianti INfoma: Risposte semplici, autorevoli e complete sull'Implantologia per chi ha problemi di gengive. Contattaci Siamo a tua disposizione con la nostra professionalità ed esperienza Fonte sidp www.impiantidentali.org





